Qu'est-ce qu'une scoliose?
Une scoliose est une déformation de la colonne vertébrale dans les 3 plans de l’espace.
Quelle est la fréquence des scolioses chez l’adolescent?
La scoliose touche 4% des enfants/adolescents. Les filles sont plus atteintes que les garçons.
Pourquoi développe-t-on une scoliose?
La plupart du temps, aucune cause n’est retrouvée en dehors d’un terrain génétique favorable. Plus rarement, la scoliose est due à une malformation des vertèbres, une maladie neurologique ou une affection du système musculo-squelettique.
Mon enfant a-t-il une scoliose?
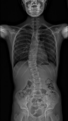
Une scoliose peut facilement être dépistée en faisant pencher votre enfant en avant. Si une bosse apparait, ou s’il existe une asymétrie de la colonne vertébrale, mieux vaut consulter votre médecin pour qu’il examine votre enfant et lui fasse faire une radiographie. Il est recommandé de surveiller le dos des enfants 1 à 2 fois par an, en particulier s’il y a des antécédents de scoliose dans la famille.



Une scoliose vient d’être découverte chez mon enfant, que faire?
Il faut consulter rapidement (dans les 3 mois qui suivent le diagnostic) pour confirmer la scoliose, apprécier sa sévérité et discuter du traitement le plus adapté. Plus le traitement est débuté tôt, moins la scoliose évoluera.
Quels traitements peuvent être proposés pour empêcher la scoliose d’évoluer?
Toutes les scolioses sont différentes. Certaines n’évoluent pas, et ne nécessitent donc pas de traitement spécifique. D’autres évoluent, et nécessitent de mettre en place un traitement par corset.
Faut-il faire de la kinésithérapie quand on est atteint de scoliose?
La kinésithérapie est souvent proposée dans la prise en charge de la scoliose. Le kinésithérapeute tente d’assouplir la colonne vertébrale, et de réduire la scoliose par des postures et des exercices corrigeant la déformation. Dans les scolioses peu évoluées, elle pourrait permettre d’améliorer la déformation.
Peut-on faire du sport quand on est atteint de scoliose?
Il n’y a aucune contre-indication à la pratique du sport quand on a une scoliose. Il est même recommandé de pratiquer une activité sportive régulière.
